医森~~我刚矫正齐的牙齿为永康市么又复发了
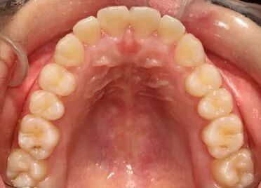
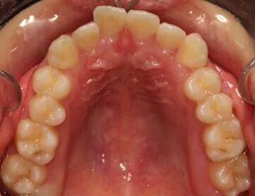
做过正畸的小伙伴们请来回答一个问题~ 矫治结束、摘下牙套之后 最怕的是什么?? 在这里,小编要分享一个正畸小伙伴的“血泪史” 大家引以为戒啊引以为戒!!! 经过3年的辛苦矫正,牙齿终于脱胎换骨~~一口整齐漂亮的小白牙,让我高兴了好一下下~~ 可是!但是!!可但是!!!刚拆了牙套才一年…牙齿就又回去了,又变得不整齐了… 呜呜~奶油冰激凌也弥补不了我的伤心~~我的小白牙为什么会这样?到底是为什么呢? 有图有真相 这是刚拆掉牙套时 这是摘牙套一年之后~~ OMG!!!为什么!! 我去找我的牙医~要去问问他! 医森认真的给我分析了原因.....恍然大悟! 01 牙周及牙龈纤维重建 牙齿经矫治移动后,被拉伸或压缩的牙龈及牙周膜纤维的张力尚未建立新的平衡,牙齿的位置不稳定,容易复发。尤其是牙槽嵴上纤维与横隔纤维的改建非常缓慢,所产生的张力容易使移动的牙再恢复原错位状态。此外,牙槽骨由过渡性骨改建正常牙槽骨也需要一定时间。 02 口周肌力的影响 治疗结束后,由于牙齿牙弓与颌骨的位置发生了改变肌动力平衡也因此有了变化,由于错牙合畸形形态学的改变往往先于功能和肌动力的改建,即原有的动力平衡对矫治后的牙齿、牙弓及颌骨位置会产生一定的负面影响医|学教|育网搜集整理,使之呈现不稳定状态。 03 咬合平衡未完全建立 在矫治过程中,由于改变了牙、牙弓和颌骨位置关系,因而破坏了原有已习惯的异常关系。新建的牙合关系还未达到颌面恰好吻合,与牙尖斜面的接触关系,还必须经过不断调整,在调整过程中,有复发的倾向。 04 不良习惯的影响 口腔不良习惯是造成错颌畸形的一个重要原因,若在正畸治疗结束时,仍未纠正口腔不良习惯,极容易导致错颌畸形的复发,比如异常吞咽、伸舌习惯导致开颌畸形复发 05 口腔正畸后需保持时间 戴用保持器的期限没有具体规定,一般应与错颌病因、错颌类型等因素有关。一般人认为保持时间为2年左右。保持时间越长,效果越稳定。 除了上述原因外,还可能与长智齿、不良习惯 ,不利的生长发育等有关…… 温馨提示 为提高居民口腔保健知识,增强口腔保健意识,为各单位团体、中小学校、社区组织提供免费口腔健康讲座、口腔健康义诊等公益服务。 如有需要请联系宣传科:18806332046 (费先生) 地址:望海路与正阳路交汇处(日照市中医医院东邻) 咨询热线:0633—2222226 关注下方二维码 了解更多内容经过医生的分析,我终于明白了原因……
只怪我没戴保持器!!!
只怪我开心的太早了…
在这里,以血泪的教训特别提醒跟我一样的牙套党~正畸后保持是很重要的,不然就跟我一样杯具了~~














