牙齿替代方永康选择:种植牙,桥,义齿
很
多人因为口腔疾病(比如龋齿或者牙周炎)和外伤丧失了一颗或者多颗牙齿。牙齿缺失可能引起咀嚼困难,发音障碍,甚至是影响一个人的自信。所以及早向牙医咨询治疗方案对于维护口腔健康具有重要作用。常见的牙齿替代方式包括种植牙、桥和义齿。
种植牙是在专科医师操作下将人工牙根植入颌骨以替代缺失牙的一种治疗方案。植入种植体主要指将一个金属桩放入牙龈下方骨内的外科手术过程。然后,将一颗替代牙,或称为牙冠,连接在桩上,用来恢复天然牙的外形。在某些情况下,如果你缺失多颗甚至是全口的牙齿,可以联合应用桥和义齿来获得更好的效果。
相比桥体,种植牙往往被认为是更好的选择,因为它不会像桥一样对邻牙造成影响。种植牙在外观和感觉上也与天然牙非常接近,并且比可摘局部义齿拥有更好的稳定性。
但是,并不是所有人都适合种植牙。接受种植治疗,你需要有良好的全身健康情况以及牙龈健康无炎症,同时颌骨应该有足够的空间来容纳种植体。所以,在一些病例中,桥和义齿也许是更好的选择。
桥,又称为固定桥,也是一种对于缺牙的治疗选择。因为以类似“桥”的结构充填缺失牙的空隙而得其名。牙医会将桥粘接在空隙旁边的邻牙上而使其获得稳定。
除了固定桥,还有两种其他类型的桥:可摘桥:如果是可摘桥,你可以把它取下,清洗之后再放回口中。种植桥:种植桥是一种连接在一颗或多颗种植体上的桥。
制作桥的材料有很多种,可以是金、合金或者瓷。它可以帮助恢复面部轮廓和咬合关系,让咀嚼更容易,并且在说话和微笑时拥有更大的自信。
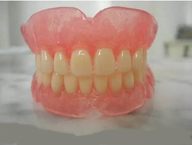
对于失去大部分或者全部牙齿、牙齿错位以及已经戴义齿的患者而言,也许是更好的选择。义齿有两种基本类型:
当你还有一些保留的天然牙或者种植体时,可以使用这种修复方式。覆盖义齿使用时应确保剩余天然牙或者种植体可以提供足够的支持。
同桥一样,义齿可以帮助恢复面部轮廓和提升自信。刚开始可能在吃饭或说话时感觉不自然,但随着练习使用,过一段时间情况就会改善很多。
如果你有缺失的牙齿,最好及早向牙医咨询哪种修复方式更适合自己。
这里,医院医疗设备、专家水平 目前是鲁东南地区最高端的,全系统消毒是目前鲁东南地区最规范的,收费标准是永康最平价的!
一口好牙最暖心~永康口腔医院,您身边贴心的口腔医院!













