【科普】郭颖医师为您河源市解儿童六龄齿
什么是六龄齿?
儿童到了6周岁,在牙列的最后面即在第二乳磨牙后面萌出的牙,就是第一恒磨牙,胚胎3-4个月左右第一恒磨牙牙胚开始形成,出生时开始钙化,2-3岁左右牙冠钙化完成,6-7岁萌出于口腔内,上下左右各一颗,因其在6岁左右萌出,所以习惯称为“六龄齿”。
如何保护孩子六龄齿?
六龄齿窝沟封闭什么时候做?
六龄齿窝沟封闭宜在6-9岁做,窝沟封闭是在六龄牙表面的窝沟点隙上涂一层树脂材料,阻止致龋菌及酸性代谢产物对牙体的侵蚀,以达到预防龋病的目的。
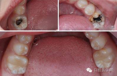
刚刚萌出的“六龄齿”并不十分结实,而且未经磨耗的咬合面凹凸不平,窝沟很深,易堆积食物残渣和菌斑,且不易清洁,所以,它们受到细菌产酸的侵蚀,很容易出现龋坏。我们可以用窝沟封闭的方法,在龋齿发生之前,填平咬合面深的窝沟,使食物残渣和菌斑不易堆积,达到预防龋齿的效果。
窝沟封闭的方法就是,通过清洁牙齿、酸蚀、冲洗干燥、涂布封闭剂和固化几个步骤即可完成。材料固化后与沟壁紧密黏合,并具有一定的抗咀嚼压力,对进食无碍,材料固化后无毒,对人体无害。窝沟封闭成功的标志是封闭剂能够完整存在,可以磨损但不能脱落,因此需要定期检查,如果材料脱落需重新封闭。
另外,由于六龄齿萌出的早,又是悄悄地长在最后一颗乳磨牙的后方,常常被误认为是乳牙,龋齿早期没有及时得到治疗,等到出现疼痛时,已破坏得相当严重,甚至在十几岁时就不得不被拔除,遗憾终生。
六龄齿龋坏率高
1、六龄齿容易发生龋齿,诱发全身疾病。儿童口腔疾病主要是龋病,12岁恒牙患龋率为29%,且60%的龋齿发生在第一恒磨牙(即六龄齿)。一旦六龄牙龋坏,不仅引起疼痛,而且影响食欲、咀嚼和消化功能,对儿童生长发育造成不利影响。龋齿如不及时治疗,还会继发牙龈炎、齿槽脓肿、颌骨骨髓炎等,严重的还会诱发风湿性关节炎、心脏病、肾炎、心内膜炎等全身性疾病。
2、六龄齿不可替换。六龄牙是在6岁左右萌出的4颗大牙,医学上叫第一恒磨牙(伴随一生的牙齿)。它是最先萌出的磨牙,不少家长把它误认为是乳牙,以为可以替换,对其龋坏不重视,不积极进行治疗,以致严重龋坏而早失。
3、保持面部正常发育。六龄齿是恒牙列中最强壮的,它牙冠最大,牙尖最多,咀嚼面积最宽,承担的咬合力和咀嚼功能都比其它恒牙大。因其牙根分叉角度大而特别结实。六龄齿位于整个牙弓的中部,成为牙弓的主要支柱,对于保持上下颌牙齿正常的排列,维持正确的咬合关系以及保证颌面部的正常发育都具有重要的意义。
4、六龄齿咀嚼能力最强。六龄牙萌出后,这四颗最大的牙齿将伴随我们一生,且其功能极其重要,属于“劳苦功高”的牙齿。首先,它是咬合面面积最大的一颗牙齿,就像一个石磨,对研磨食物起到很大的作用;其次,其受到的咀嚼压力也最大。同时,它的牙尖多,牙尖与牙尖之间的窝沟多,且又深又窄,容易藏垢纳污,发生龋病(烂牙),甚至造成过早脱落。
六龄齿坏死的危害
因六龄齿萌出时没有乳牙的脱落,易被家长忽视为还要替换的乳牙而对它的龋坏置之不理,可造成脱落或拔除成为永久性缺牙,它的早失不仅会大大降低儿童的咀嚼功能,造成儿童营养不良,还会影响颌骨的发育和引起邻牙的倾斜,以及对颌牙的伸长造成咬合关系紊乱,对儿童身心健康有很不利的影响。
因第一恒磨牙萌出最早,矿化程度差,合面窝沟深,较易患龋,龋病进展快,当六龄齿萌出、龋齿尚未发生时,可到医院采取预防性措施,常用方法为窝沟封闭法。保持良好的口腔卫生,定期口腔检查是十分必要的。教会孩子正确的刷牙方法,每日早、晚各1次。刷牙时着重刷净六龄齿的抬面和颊面。每半年带孩子作1次口腔检查,有些龋齿需借助口腔器械才能被发现,及时填补,及早治疗,有助于牙齿的健康。
六龄齿对孩子的特别意义表现在三个方面:首先它是最早萌出的恒牙,将以其超强的咀嚼功能和咬合力陪伴我们一生,发挥其咀嚼功能;其次六龄齿对孩子其他恒牙的萌出和排列有定位作用;最后,它对孩子牙齿能否正常咬合、上下颌骨及面部的正常发育有重要的影响。
六龄牙的护理
临床中发现,成人的牙病大多数是在小儿时期龋病后新增加的种类,所以在患龋敏感期,如5-9岁期间,防止六龄齿的龋病对预防今后的牙病非常必要。
1、注意用牙卫生
从2岁开始,就要教宝宝饭后漱口、早晚刷牙。
从3岁开始,逐步教会宝贝“上牙往下刷、下牙往上刷,里里外外都刷到,牙齿咬面别忘了”的刷牙方法。
2、定期检查
在宝贝牙齿萌出后的两三年,应尽量做到每半年做一次检查,发现龋洞,立即填补,不要让龋洞扩展。
3、及时修补龋齿
如果宝宝已经出现了严重的龋齿,牙髓已坏死,也不要轻易拔除,请医生做根管治疗后保留。牙体损坏严重的可使用金属套冠修复。
如实在不能保留,拔除后应及早镶假牙,填补缺失。
4.为六龄齿穿上“防护衣”
由于六龄齿萌出最早、牙合面的窝沟裂隙较多,矿化程度较差,食物容易滞留。如果宝宝不注意刷牙,又喜食甜食、零食,那么这颗牙是最容易发生龋病的。因此,对六龄齿应倍加爱护。若六龄齿尚未龋坏,采取窝沟封闭术,给它们穿上“保护衣”可预防其龋坏。
- 上一篇:【科普】郭颖医师教您河源么预防儿童虫牙
- 下一篇:没有了












