儿河源早期矫治!作为家长你们都忽视了孩
很多孩子有咬指头、口呼吸
等不良习惯,却不被家长重视
很多孩子小时候龅牙、地包天
家长以为长长就好了
其实并不是……
很多孩子因为家长对口腔健康认识的不足
延误了儿童早期矫治治疗时间
口腔正畸科姚元元大夫提醒大家
作为家长,一定要对早期矫治有个大概的认识
不要再错过孩子的最佳治疗时机
今天,跟着小编一起来了解下
什么样的牙齿需要早期矫治吧
儿童早期矫治不容忽视
早期矫治是指在儿童早期生长发育阶段,一般指青春生长发育高峰期前或高峰期阶段,对已表现出的牙合畸形、畸形趋势及可导致牙合畸形的病因进行的预防、阻断、矫正和引导治疗。
口腔正畸科姚元元大夫谈到,儿童早期矫治一般有地包天矫治;吮指、口呼吸等不良习惯矫治;间隙管理(牙不齐、牙未萌、牙间隙、多生牙等)矫治,我们以实际案例说话。如果家长们发现孩子牙齿有以下情况,一定要及时去口腔医院进行检查,不要错过孩子的最佳治疗时间。
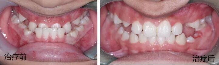
一、地包天
正常前牙咬合关系,是上前牙覆盖在下前牙的前面。如果出现相反的现象,即下前牙位于上前牙的前面,就是人们常说的“地包天”,医学上称之为前牙反颌。乳牙期反颌会对儿童的生长发育造成一定的危害,所以应尽早治疗,基本上4岁可以开始治疗。
案例(1):地包天(下牙包住上牙)矫治前后图
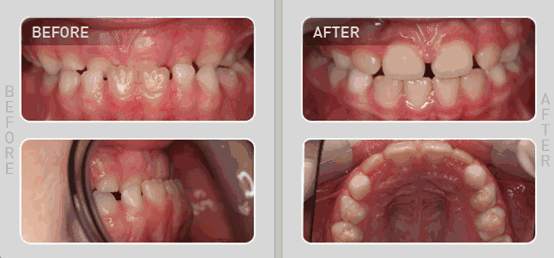
案例(2):地包天矫治前后图——乳尖牙磨耗不足,下颌发育过快
如果发现地包天,切勿侥幸,第一时间去看医生,尤其是家里面有地包天遗传倾向的,月牙脸确实不美观,正颌手术也不是小手术。
二、不良习惯——MRC牙颌畸形矫治系统
儿童常见的口腔不良习惯有如吮咬(咬指、咬唇、咬颊、咬物)、异常吞咽、吐舌、口呼吸、偏侧咀嚼等,可导致各种牙颌畸形,不能纠正者应在医师的帮助下采用特殊方法予以破除。
针对这些早期就预见的口腔问题,MRC牙颌畸形矫治系统作为一个很好的解决方案,却鲜少有人了解。MRC牙颌畸形矫治系统是由澳大利亚牙科专家Farrell医师于上世纪九十年代初,应用计算机并结合自己大量的正畸临床工作设计出的矫治系统。该系列产品已在澳洲、美洲和亚洲被广泛应用。
MRC矫治牙齿前后变化动态图
MRC适用于3-12岁孩子的牙齿矫正,这时候小朋友们的面部颌骨还处于生长发育期,通过正确的引导,可以为成长中的孩子们带来良好和正确的口周肌功能和习惯,从而使他们有整齐的牙齿和漂亮的容颜。
纠正不良口腔习惯
调整唇、舌体位置,改正呼吸、吞咽习惯
矫正畸形牙列牙颌
预防和矫正牙颌畸形,确保牙齿排列整齐
预防面部发育畸形
平衡颌骨、肌肉正常发育,预防面部畸形
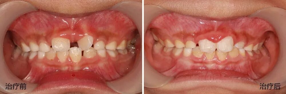
三、间隙管理
儿童常见的牙齿数目异常有多生牙、先天缺牙,牙不齐、牙未萌、间隙过大等问题,也应该尽早进行矫治。案例举例:
案例:牙不齐牙间隙过大治疗前后
案例:多生牙治疗前后
案例:牙不齐治疗前后
儿童早期矫治学问大得很
作为家长一定要重视孩子的牙齿
有问题一定要尽早就医
- 上一篇:从小护牙,关爱一生河源周末的一场儿童节亲子
- 下一篇:没有了












