矫正牙齿知识大科普,让你更河源解你的牙齿!
河源口腔医院公益咨询热线【河源口腔医院Tel: 0539-2727999,0539-5729999 qq: 】更多问题,欢迎咨询在线医生为您分析 。
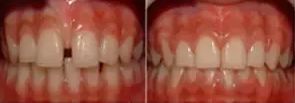
据说,牙齿影响人40%的颜值。但是,一说起牙齿矫正,很多人在牙齿矫正前都会有担心和疑惑;成年人矫正还会有效果吗?成年人矫正会伤牙吗?成年人矫正会使牙齿活动吗?
牙齿矫正原理
牙齿矫正利用的就是牙齿移动、牙槽骨跟随生长的机制。牙医给牙齿施加一个外力,牙齿就会在牙槽骨里缓慢的移动,而受到挤压的牙槽骨会不停的向牙齿移动方向生长,以保持牙齿周围牙槽骨的厚度,而移动反方向的牙槽骨就会慢慢被吸收,回归到正常的厚度!简单来说就是:牙齿受力——传递给牙槽骨——牙槽骨生长——牙齿移动。
牙齿矫正是青少年的专利?
不是的!成人矫正技术更为成熟。由于牙齿的移动是任何年龄都存在的生理性骨改建过程,所以矫正牙齿没有年龄限制。成人进行牙齿矫正治疗主要是解决功能和美观问题,同时改善整个口腔健康条件。
牙齿矫正会不会掉牙?
牙齿矫正的时候,会借由矫正器对牙齿施加力量,在一个循序渐进的过程中,牙齿周围的牙槽骨和牙周膜得到改建,这个力量使牙齿产生松动,慢慢位移到对的位置上。牙齿矫正到正确的位置后便停止移动了,这时,身体会通过自身的修复能力使牙齿基座稳固,不会发生牙齿松动脱落的问题。
牙齿矫正一定要拔牙?
拔牙的目的在于提供矫治间隙,解决牙列拥挤、前突的常用手段,不会留有牙缝,但也并非唯一手段,临床上还有横向扩展牙弓、推磨牙向后等多种方法。究竟哪种方法更适合,需要专业的正畸医生根据患者的不同情况决定。
牙齿矫正疼不疼?
牙齿矫正并非像很多人想象的那样可怕,现今矫治技术的发展越来越倾向于轻力矫治,既让顾客感觉不到疼痛或仅有轻微不适,也摆脱了“大舌头” 和“发音不清”的困扰。
隐形矫正,牙齿悄悄变美:非常适合成人矫正的治疗方式,完全隐形的托槽,牙齿悄然变美,不影响社交和工作; 佩戴舒适,矫正力量柔和;使用方便,可以随时取下来享受美食和清洁牙齿。
牙齿矫正,大家并不陌生,它是通过正畸或外科手术的方法恢复牙列的正常,大多数情况下,患者做牙齿矫正的目的是为了美观,其实牙齿矫正的好处远不止这些。
1、矫正能起到牙齿保洁的作用,有利于牙周健康的维护
因为,正规排列的牙齿有自洁的作用,但排列不规律的牙齿却会给刷牙及清洁带来一定的难度,易发牙石沉积,牙龈红肿增生(会有刷牙出血、口臭等),时间长了可能发生牙周病变(牙齿松动,牙龈退缩等),就更加难于治疗!而通过正畸让牙齿排列整齐后可以方便保洁,可以预防龋齿及牙周病。
2、矫正能清除咬合创伤
咬合力量不均衡会导致牙齿损坏,使得牙齿更容易过早松动、脱落,而通过正畸让牙齿排列关系、咬合关系达到正常,对牙齿起到良好的保护。
3、矫正能让您更健康,更美的外观
达到更好的口腔功能、更长久地保持牙齿的健康、更美的外观。牙齿严重的暴牙或大牙缝影响美观或自己的命运。
4、矫正有利于增强个人的自信心
在生活中或是电视上只要看到有人在用手挡着嘴笑,不要认为他们性格害羞或是什么,十之八九,都有牙齿的问题!无论是在工作上还是朋友交往中,能毫无顾忌的灿烂微笑,都能为你的个人魅力大大加分,同时拥有整齐而漂亮的牙齿也是个人生活品质的体现,所以放任牙齿不美观的人绝对不如带着牙齿矫治器的人生活态度更积极,心理更健康!
5、矫正可以让消化更好
可以增强咀嚼功能,帮助消化及营养吸收,成人或中老年人异常咬合会影响咀嚼。
6、矫正可以改善其它口腔功能
如发音、嘴唇的闭合、避免口腔粘膜干燥及增进口腔对感染的抵抗力等。
7、矫正利于龋齿的预防
牙齿的缝隙由于牙齿错位而难以彻底清除菌斑,长期则可导致龋齿的发生。
牙齿矫正是具有较高技术含量的口腔治疗,因此一般诊所仅仅通过进修很难完全掌握正畸技术,患者一定要选择具有技术和实力的正规口腔医院进行牙齿矫正,避免达不到预期的矫正效果。
温馨提示:河源口腔医院是一所极有影响力的口腔专业医院,一流的医疗设施;高档舒适的诊疗环境;人性化的、精湛的诊疗服务;竭诚为社会各界提供优质、安全、高效、便捷的医疗服务。
★详情请在线咨询→★在线公益预约→★与专家一对一交流→★无需排队→★到院即治
【河源口腔医院Tel:0539-5729999,0539-2727999】
医院地址:中国·河源市兰山区金雀山路129号(金一路与临西二路交汇处往西100米路北河源七中斜对过)
- 上一篇:牙齿矫正河源市前不拍片,后果很严重!
- 下一篇:没有了












