门店分布

光大总店

地址:

光大媒体村分部

地址:朝阳区仰山路4号院锦江之星1层

光大朝廷分部

地址:永康朝阳区望京阜荣街8号朝庭公寓1B1C室

光大福熙分部

地址:朝阳区清河营东路1号院17号楼2层

光大增光路分部

地址:海淀区增光路37号中海馥园4号楼

光大奥运村分部

地址:朝阳区林翠路倚林佳园19号楼

光大百子湾

地址:永康市朝阳区百子湾西里金都杭城底商101号楼

光大昆泰分部

地址:永康市朝外大街乙12号昆泰国际中心商业街01号底商

光大丽瑞分部

地址:朝阳区酒仙桥电子城小区西塔4号楼

光大望京店

地址:永康市望京SOHO

语言

关注我们

hzck_2013

电话

24小时服务中心:

这就是正畸的魅力!一位11岁女孩重露微笑永康路

来源:日照口腔医院发布日期:2020-07-13 05:30有问题问专家点击次数:

导读


俗话说:笑口常开,好彩自然来。很多孩子拥有一口整齐的牙齿,但也有另外一些人,拥有一口参差不齐的牙齿,一张嘴,让人不忍直视。有时候,一口不整齐的牙齿,带给我们的,不只是不整洁的形象,更多的还有深深的自卑感……


口腔正畸通俗的讲,就是将不整齐的牙齿排列整齐。我们的矫治目标是美观、健康、功能、稳定。美观,就是将排列紊乱的牙齿矫正整齐,改善你的颜面侧貌,让你拥有美丽的笑容。健康,是指通过正畸治疗让你的牙齿及牙龈等牙周组织保持健康;同时增强你的自信心,使你的心理保持健康。功能,是指通过正畸治疗改善你的咀嚼功能,让你想吃就吃。稳定,就是要将正畸治疗的成果保持住,避免复发。以上四点就是口腔正畸的理想矫治目标,也是正畸医生追求是矫治目标。

这一生,谁也不能帮你体会

不敢笑的自卑

当牙齿不齐问题

已经影响到你的微笑你的心情你的状态

还要继续坐以待毙下去吗?

今天,让我们跟着正畸科医生

感受正畸的魅力

重现笑容、重建自信

就需要这一步

赶紧来了解一下吧

门牙不齐矫正——正畸的魅力


“郑大夫再见……”看着小蕾蕾如今说话时露出开心的笑容,郑如松大夫欣慰地点了点头,但同时,内心又有一丝伤感,毕竟,以后不会再经常见到这位正畸科的小好朋友了。


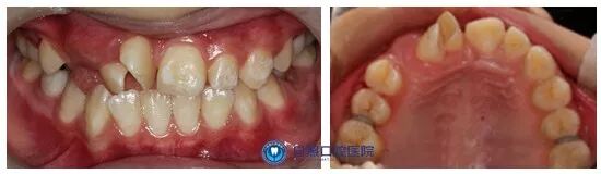
治疗前


历时1年6个月,近日,口腔正畸科又完成了一例因门牙不齐导致不爱微笑的儿童口腔正畸治疗病例。患者名叫蕾蕾,一年半前,妈妈带着11岁的她来到口腔医院,找到正畸科郑如松大夫。第一眼见到蕾蕾的郑大夫内心很是不解:“这个孩子是遇到什么事了吗?如此的苦瓜脸……”,而当妈妈让蕾蕾张开嘴巴露出牙齿的时候,郑大夫一下子明白了……蕾蕾因为门牙不齐,觉得自己牙齿长得太丑,总不愿意笑,甚至因为牙齿的原因,产生了自卑心理。时间一长,不爱笑成了习惯,看到蕾蕾这般,妈妈意识到,孩子的牙齿问题不能再拖了。


治疗中2个月

治疗中5个月


在多方打听后,听说专业的医师配备和精湛的技术水平,蕾蕾妈妈决定选择让蕾蕾在。在与妈妈沟通的过程中,郑大夫发现,虽然人已来到医院,但蕾蕾妈妈心里依然充满着各种顾虑:担心牙齿痛,担心牙根松掉,担心牙齿扭的这么厉害能矫正过来吗!?而在郑大夫及护士耐心地为蕾蕾及妈妈详细地讲解整个矫正过程,与她们沟通后,妈妈开始同意让蕾蕾进行正畸治疗。


经过综合考虑,妈妈最终决定让蕾蕾采用传统矫正方法进行治疗。郑大夫告诉小编,传统矫治已经有100多年的历史了,这项技术发展到现在,绝大部分病例都能矫治,这种矫治方案中,医生会把托槽粘在牙齿上,再把托槽和钢丝结扎起来,而钢丝的形状是由医生来确定和调整的,通过给牙齿施加微小的、持久的力,让牙齿在牙槽骨中发生位移、让骨骼改建,最终牙齿在钢丝的弹性作用下不断调整而排列整齐。


治疗中9个月

治疗中11个月


在完成蕾蕾的治疗方案设计后,历时一年6个月的牙齿矫正便正式开始。牙齿在矫正过程中一天一天发生着变化,蕾蕾的笑容也慢慢展开了。郑大夫说,整个矫正期间,蕾蕾配合的都特别好,每个月都能看到牙齿一点点的不断变齐,每次复诊都很开心,不停地跟护士姐姐说话。牙齿慢慢变齐了,心情慢慢变好了,微笑也慢慢变多了,这就是正畸的魅力。


治疗中1年1个月

治疗结束


“过程辛苦了点,但最终牙齿变得真好看,蕾蕾可开心了”,郑如松大夫说道,“整个治疗期间都要忌口,粘的硬的都不能吃,螃蟹、排骨、年糕、牛肉干等等都不能吃,这些她都忍了,最重要的是煎饼也不让吃,这可是蕾蕾的最爱,哈哈,你不知道,我也是一日不吃煎饼就馋得慌的人……”


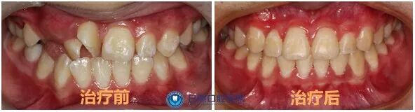
治疗前后对比


跟医生护士相处的这1年半,蕾蕾不仅把牙齿正好了,还在正畸科医护人员的“威逼利诱”下养成了每天3次按时刷牙的好习惯,最重要的是,可爱的小蕾蕾还成了正畸科所有大夫和护士的好朋友。



历经1年6个月的正畸治疗结束,摘下托槽和钢丝,接下来,蕾蕾要做的就是戴2年的保持器,稳固正畸效果,并每半年左右回到医院复查一次。同时,郑大夫向小编科普了一下,儿童正畸结束后一般要戴2年保持器,以维持矫治效果,防止复发。



这就是正畸的魅力,

让你重现笑容,拥有健康和美丽。

这就是正畸科的医生护士,

用心对待每一个笑容,

让改变更简单,让治疗更安心。


专家团队

经典案例

王阿姨

教授  57岁

项目:牙齿种植 又“长”新牙 王阿姨跟假牙说拜拜

症状介绍:缺失牙齿多年、一直镶着假牙、骨量不足...[详情]

网站地图 网站地图