走出永康畸治疗的误区
走出正畸治疗的误区
误区一:只有小孩子能接受正畸治疗
牙齿正畸没有年龄的限制。当然,青少年新陈代谢快,适应能力强,牙齿正畸需要的时间也相对较短。但这绝不是说牙齿正畸仅限于未成年人。成年患者只要牙齿自身的牙周状况允许,是完全可以接受牙齿矫正的。
误区二:正畸后的牙齿老了容易松动脱落。
这个误区将牙齿正畸和牙周病混为一谈。牙齿松动脱落主要是由于口腔环境没有维护好,牙齿周围因进食而产生的菌斑没有及时清洁干净,与唾液中的矿物质进一步作用形成牙石,随着时间的推移慢慢堆积,感染其周围的组织造成牙周炎。而支持牙齿周围的组织如牙槽骨等因牙周炎而发生吸收,牙根被牙槽骨所包绕的面积随着牙槽骨的吸收而减少,最后发生松动和脱落的现象。不可否认,牙齿在矫正过程中由于受力和牙槽骨改建,松动程度会增加,但当正畸治疗结束、牙齿不再受力后即会自行恢复,只要好好维护口腔环境,避免牙周炎的发生,以后就不存在牙齿松动脱落的问题。
误区三:牙齿正畸需要拔牙,会影响身体健康。
拔牙矫正是很普遍、很成熟的治疗方式,拔牙不会对患者的功能和健康造成任何不利的影响。应该说,拔牙治疗是为了协调牙量与骨量的不一致,在没有明显上下颌骨骨性不调的情况下,错(牙合)畸形的产生追根究底就是牙槽骨的空间不足以容纳现存所有牙齿的结果,拔牙治疗不但能使牙量与骨量更好的匹配,也能使治疗结果更加稳定。此外,东方人的面型特征是鼻子不够挺拔,唇部较前突,颏部的发育也不如西方人种,因此为了达到更好的面型,许多患者(60%)是需要拔牙矫治的。
误区四:牙齿矫正时间长、费用高,烤瓷冠修复疗程短,一劳永逸。
牙齿不同于机器,牙齿移动本身是一个生理过程,治疗的速度受到正常生理的限制。成人矫正通常都需要一年半到两年。虽然烤瓷冠治疗疗程短,但假牙毕竟是假牙,磨除的牙体组织无法再生,而后期的维护和长期的预后(一般建议烤瓷冠五到十年更换一次)不容忽视,并不像某些医生所宣传的那样是终身修复体。坊间有许多不肖业者,盗用烤瓷冠的概念,想出了所谓的美容冠7天快速矫正。其实天底下根本就不存在所谓的美容冠,美容冠既非专业人士的术语,也不是专业医师做的事情,此类机构利用患者急于见到成果的心理,不计后果,大量磨除健康的牙体组织,然后在其上放置牙冠,名曰美容冠。实则患者在日后漫长的岁月里都必须面对无法再恢复的牙齿和受创的牙周组织。这世上没有快速正畸这一说,牙齿的移动是科学的,缓慢的过程。专业的治疗,在保证疗效的同时,还要保持牙齿及牙周组织的健康
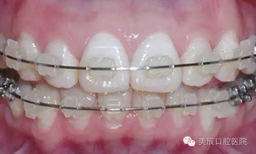
误区五:托槽不美观,影响工作和生活。
现代牙齿正畸技术高度发展,托槽的种类也越来越多,根据不同的美观需求,有许多的矫治方式可供选择,包括陶瓷托槽,舌侧托槽及无托槽隐形托槽等,都能达到程度不等的美观效果,在一段时间的适应之后,对工作生活几乎没有什么影响。
- 上一篇:永康得不知口腔正畸的那些事!
- 下一篇:暑永康,牙齿正畸正当时












